Cabinet dentaire St Just
Chirurgiens-Dentistes dans le 5ème arrondissement de Lyon
Cabinet dentaire St Just
Chirurgiens-Dentistes dans le 5ème arrondissement de Lyon

69 rue de Trion
69005 LYON

L'orthodontie - Page 2

Le quad helix : traitement du palais et de l’alignement des dents

Le quad helix : traitement du palais et de l’alignement des dents

Orthodontie : la traction d'une canine palatine incluse

Orthodontie : la traction d'une canine palatine incluse

Traitement multi-attaches

Traitement multi-attaches

Votre expérience des traitements : 20 ans d'évolution

Votre expérience des traitements : 20 ans d'évolution

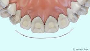
Fil de contention

Fil de contention

Orthodontie et hygiène bucco-dentaire

Orthodontie et hygiène bucco-dentaire

Quel que soit le type d’appareil (amovible ou fixe), les bons gestes d’hygiène bucco-dentaire sont un gage de réussite de votre traitement.

Affichage des articles 7-12 sur 15

Création par Webdentiste

Connexion